改善服务
改善医疗服务进行时——锡林郭勒盟医院在全盟率先开展首例肝中叶切除术
发布来源:宣传处 发布时间:2019-10-25 02:20:37
近期,锡林郭勒盟医院普外三科(肝胆胰脾包虫病外科)成功为一例疑难复杂复发性肝囊型包虫病患者实施了全盟首例肝中叶切除术(肝囊型包虫病根治性切除术),目前,该患者已痊愈出院,恢复良好。肝中叶切除术是指肝脏中央区的切除,在技术含量及难度系数上要比左半肝或右半肝切除术更为复杂。此例手术的成功实施标志着该院在肝脏外科手术方面迈向了一个新的台阶。
患者为一名中年女性,17年前因“肝包虫”进行过手术治疗,此次因“上腹痛2天伴皮肤黄染”入院。入院后,为患者安排了详细的检查。

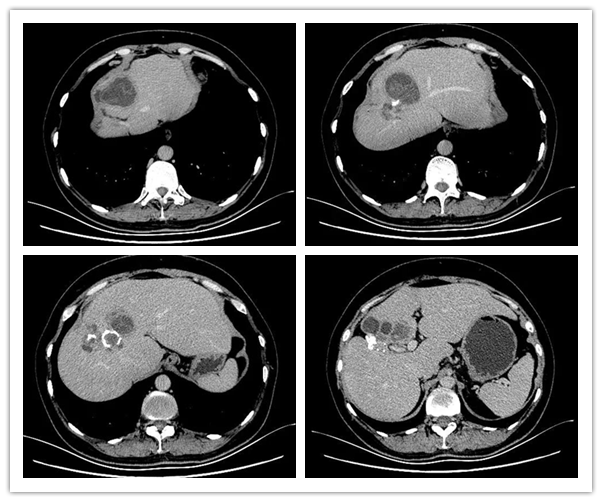
手术前腹部CT
结合患者腹部CT检查,考虑患者为复发性肝囊型包虫病,且有多个包虫病灶,结合化验检查患者有明显肝功能损害,考虑为包虫破入胆道所致,此类病例属疑难复杂性肝囊型包虫病,治疗起来比较棘手,传统手术无法根治性解决,还会导致术后包虫复发、包虫残腔反复感染等并发症出现,为此,科室特邀请中国火箭军总医院段伟宏教授及谢于教授进行了会诊,通过充分的评估及讨论,认为患者可实施肝中叶切除术(肝囊型包虫病根治性切除术),经充分的术前准备后,在段伟宏及谢于教授的帮助下,普外三科在麻醉科及手术室的协作下为患者成功实施了肝中叶切除术(肝多发囊性包虫根治性切除术)、胆总管探查T管引流术,手术过程顺利。
肝中叶包括左内叶和右前叶,其脏面为动脉、门静脉、胆管、淋巴管及神经汇成的第一肝门,并临近诸管道分叉部;膈面为肝静脉汇入下腔静脉处的第二肝门;肝背侧借助于数目不等的肝短静脉与肝后下腔静脉段相邻,即第三肝门。该患者包虫囊肿位于肝中叶的IV、Ⅴ、Ⅶ、Ⅷ段,若行扩大右半肝切除,手术相对简单,但切除的肝脏组织过多,术后发生肝功能衰竭的可能性加大,而且患者属良性疾病,切除过多就得不偿失了;故理想的手术方式是肝中叶切除术,既保证了足够的病灶切除范围,又最大限度的保留了正常肝脏组织,但手术难度也随之加大。此例手术的开展进一步推进和拓宽了精准肝切除术在复杂肝囊型包虫病手术中的临床应用。也大大提升了锡林郭勒盟医院肝脏外科、麻醉科等科室的整体水平。