改善服务
改善医疗服务进行时——锡林郭勒盟医院独立完成全盟首例儿童脑动静脉畸形切除术
发布来源:宣传处 发布时间:2019-09-26 06:56:55
近日,锡林郭勒盟医院脑科中心独立完成一例我地区年龄最小的脑动静脉畸形切除术。

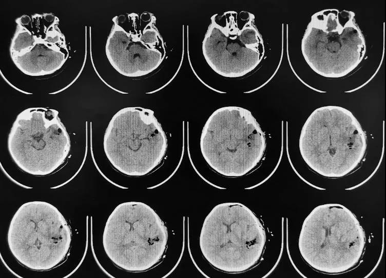
9月7日,外院急诊送来了一名脑出血的女童,年仅9岁,患儿6个小时前无诱因突发“意识障碍伴四肢无力、胡言乱语”,家长急送当地医院进行头颅CT检查,提示“左颞叶脑出血”。
为进一步治疗急转来锡林郭勒盟医院,入院时患儿意识模糊、双侧肢体肌力减弱以右侧明显,复查头颅CT后“左颞叶脑出血,量较前对比无增加”,脑科中心脑血管病团队在高天主任组织下进行了病情讨论:儿童发生急性脑出血有很大比例是血管畸形、烟雾病及少见的肿瘤脑卒中,如果没有术前充分的影像检查而去贸然做手术,很可能就是畸形无法处理还要二次手术或术中出血不可控危及生命;初步诊断:左颞叶脑出血、动静脉血管畸形破裂?医嘱给与脱水降颅压、止血等对症处理,完善脑血管造影(DSA)检查明确病因诊断后,再进行下一步的治疗措施。

↑入院CT检查

↑DSA检查
果不其然,DSA结果显示:左颞动静脉血管畸形团约2x2cm,由大脑中动脉下干M4远端供血引流静脉发育不完全。
出血病因明确后拟定进行“开颅动静脉血管畸形切除+血肿清除术”,但“脑血管畸形”是神经外科领域较为复杂的疾病之一,患儿病变位于脑组织深部功能区,畸形团小很难精确定位,术中能够找到这么小的血管畸形团可能会十分困难而一旦误伤正常血管极易造成语言障碍和对侧肢体瘫痪,手术难度较大;另外脑血管畸形手术成人大出血出2、3千毫升都有可能,儿童可能2、3百毫升出血就要危及生命了,手术风险很高。
脑科中心脑血管病团队经过术前认真讨论,制定手术方案和术中各种意外防范预案,由张喜春副主任医师主刀术前精确血肿头皮投影区定位根据DSA判断畸形血管团在脑部位置,经过4个小时的手术,在显微镜下为患儿切断了畸形血管团内的所有动静脉供血,完成畸形血管团切除和血肿清除,术中出血50ml未输血;术后患儿清醒,语言正常、四肢活动自如、生命体征平稳,经过后续治疗患儿肌力完全恢复正常,术后11天治愈出院。

<h3 style="margin: 0px; padding: 0px; font-weight: 400; font-size: 0.36rem !important; max-width: 100%; box-sizing: border-box !important; word-wrap: break-word !important; color: rgb(51, 51, 51); font-family: -apple-system-font, BlinkMacSystemFont, " helvetica="" neue",="" "pingfang="" sc",="" "hiragino="" sans="" gb",="" "microsoft="" yahei="" ui",="" yahei",="" arial,="" sans-serif;="" font-style:="" normal;="" font-variant-ligatures:="" font-variant-caps:="" orphans:="" 2;="" text-indent:="" 0px;="" text-transform:="" none;="" white-space:="" widows:="" word-spacing:="" -webkit-text-stroke-width:="" -webkit-tap-highlight-color:="" transparent;="" letter-spacing:="" 0.3px;="" background-color:="" rgb(255,="" 255,="" 255);="" text-align:="" center;="" line-height:="" 1.8em="" !important;"="">↑术后12小时CT

↑术后病理诊断
近年针对脑出血等疾病脑科中心逐步开展了显微神经外科手术,此次手术是该领域的又一次突破。